Looking for an alternative to metal braces?

ClearCorrect is the clear and simple choice. No wires. No brackets, just clear, convenient and comfortable. Every reason to smile! With ClearCorrect, your dentist or orthodontist can straighten your teeth using a series of clear, custom, removable aligners. Each aligner moves your teeth just a little bit at a time until you eventually get a straighter, healthier smile.

Invisalign

ClearCorrect

  • Clear, virtually invisible
  • Smooth and comfortable
  • Removable & easy to clean
  • Faster for mild to moderate cases
Invisalign

Traditional Braces

  • Wires and brackets
  • Can decorate with colours
  • Colours can be changed each visit
  • Non removable
VS

How does it work?

You and your dentist will evaluate your teeth and discuss any issues or goals you have for your smile. Once you and your dentist establish that ClearCorrect is the right treatment option for you, your doctor will take impressions, photos, and X-rays of your teeth that ClearCorrect uses in manufacturing your custom aligners. Then your dentist prescribes your custom aligners and sends them to ClearCorrect.

What can it do?

ClearCorrect can treat a wide variety of issues that keep people from achieving their ideal smiles. Straighter teeth don’t just look better; they work better too. Poorly aligned teeth can interfere with bite function, wear out quickly, and be more prone to cavities. Ask your dentist  how ClearCorrect can help you.

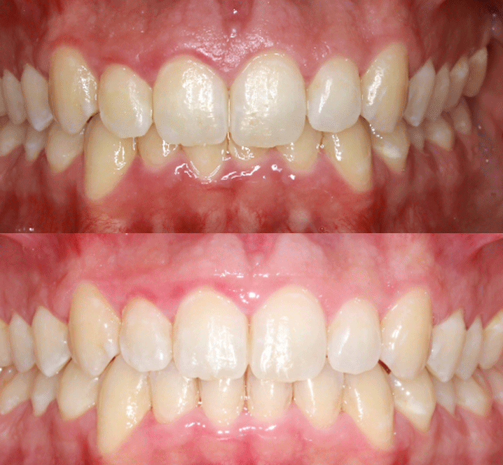
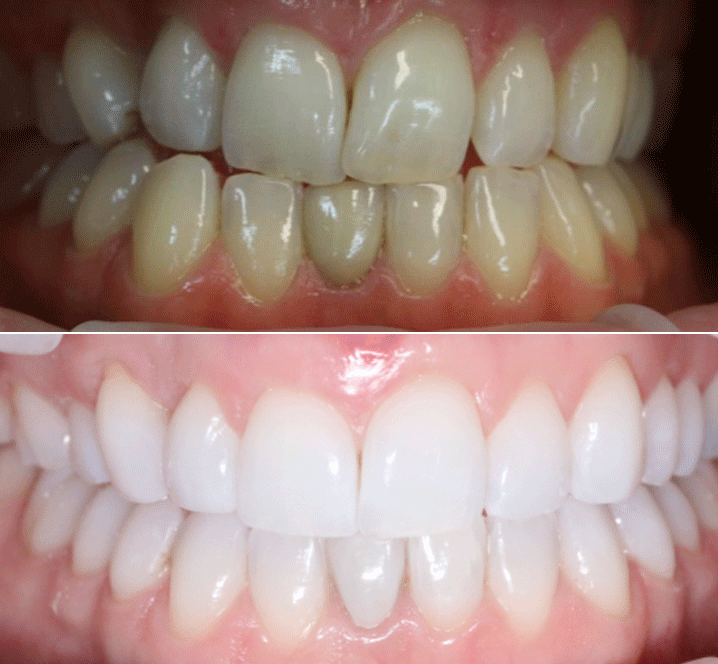
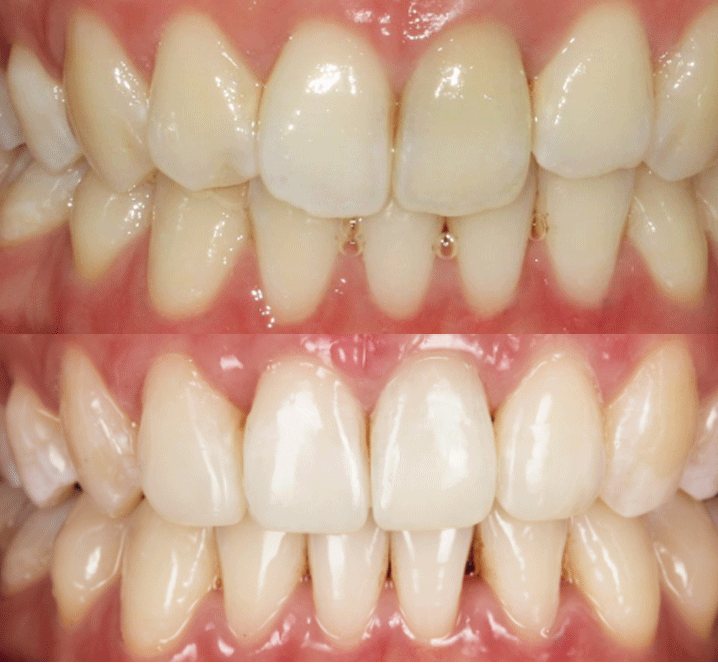
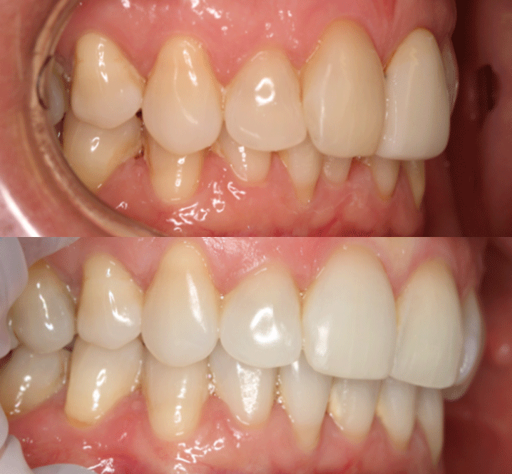
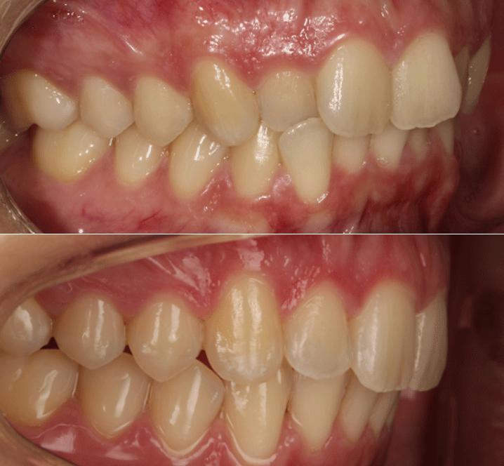
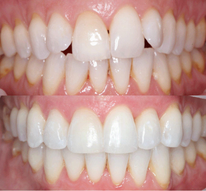
Smile gallery

Smile Gallery

Before

After

Smile Gallery

Before

After

Smile Gallery

Before

After

Smile Gallery

Before

After

Smile Gallery

Before

After

Smile Gallery

Before

After

Smile Gallery

Before

After

Smile Gallery

Before

After

Smile gallery

Smile Gallery

Before

After

Smile Gallery

Before

After

Smile Gallery

Before

After

Smile Gallery

Before

After

Smile Gallery

Before

After

Smile Gallery

Before

After

Smile Gallery

Before

After

Smile Gallery

Before

After

Comparison with ClearCorrect vs other treatments

Other clear aligners

Traditional braces

Made from SmartTrack material

check

In-person consultations with real dentists

check
check

Easily removable for eating, drinking & flossing*

check
check

Made from SmartTrack material

check

In-person consultations with real dentists

check

Easily removable for eating, drinking & flossing*

check

No emergency visits for broken wires

check

Virtually invisible

check

Each aligner is trimmed to your gum line for optimal comfort and appearance**

check

Blue compliance indicator dots to help you stay on track

check

Covered by many orthodontic insurance plans

check

No emergency visits for broken wires

check

Virtually invisible

check

Covered by many orthodontic insurance plans

check

In-person consultations with real dentists

check

Easily removable for eating, drinking & flossing*

check

Made from traditional brackets and wires

check

Each aligner is trimmed to your gum line for optimal comfort and appearance**

check

Covered by many orthodontic insurance plans

check
In Person Consultation right black square icon right gray square icon

Reasons to choose us for your ClearCorrect® treatment

reasons icon

World-class customer service

reasons icon

Free 3D Scan worth £350, included for free

reasons icon

Teeth whitening worth £295, included for free

reasons icon

Beautiful teeth in as little as three months, using safe cosmetic braces

reasons icon

Why wait? Interest free finance available

In Person Consultation right white square icon right black square icon
Fix Icon

Crossbite

A crossbite occurs when one or more upper teeth bite inside the lower teeth, which can happen at the front or sides of the mouth. This misalignment can lead to tooth wear, gum problems, and jaw discomfort.

Fix Icon

Crowding

Crowding happens when there isn't enough space in the mouth for all your teeth to fit correctly, causing them to overlap or shift. This can lead to crooked teeth, difficulty cleaning between them, and potential oral health issues.

Fix Icon

Deep bite

A deep bite occurs when the upper front teeth overlap the lower front teeth excessively, often covering them completely or nearly so. This misalignment can cause tooth wear, jaw discomfort, and gum issues.

Fix Icon

Edge-to-Edge

An edge-to-edge bite occurs when your upper and lower front teeth meet directly at their edges, rather than the upper teeth slightly overlapping the lower ones. This can cause tooth wear, discomfort, and an increased risk of damage to your teeth.

Fix Icon

Midline

A midline issue occurs when the centre of your upper teeth doesn’t align with the centre of your lower teeth. This misalignment can affect both your appearance and bite and may lead to discomfort or difficulty chewing.

Fix Icon

Open bite

An open bite occurs when your upper and lower teeth don't come together when you bite down, leaving a gap, often at the front or sides of your mouth. This can make it difficult to chew properly and affect your speech.

Fix Icon

Overjet

An overjet occurs when your upper front teeth stick out farther than your lower front teeth, creating a noticeable gap. This can affect your bite, cause tooth wear, and lead to difficulty chewing or speaking.

Fix Icon

Spacing

Spacing refers to gaps or spaces between your teeth, which can occur due to missing teeth, small teeth, or differences in jaw size. While some spacing is natural, excessive gaps can affect your smile and may lead to oral health issues, such as difficulty cleaning between teeth.

In Person Consultation right black square icon right gray square icon

Cost of ClearCorrect

Affordable ClearCorrecttreatment

Many people worry about the cost of ClearCorrect, and so we have devised a number of payment plans to help you afford the right treatment with ClearCorrect Clear Aligners.

Learn More right white square icon right black square icon

ClearCorrect

from £ 1,800
  • Free initial consultation
  • Free 3D scan worth £350
  • Free teeth whitening worth £295
Book Now right black square icon right gray square icon

Virtual 3D scan

We can create a 3D image of your teeth in just minutes using an Trios scanner, a leading digital scanner used for ClearCorrect Clear Aligners.

scan thumb
itero logo

FAQs

1. What is the ClearCorrect treatment process?

The ClearCorrect treatment requires patients to wear a series of clear aligners for 22 hours each day. This treatment can take anywhere from six to 18 months to complete, depending on the severity of the misalignment.

2. How long do you wear ClearCorrect?

For your ClearCorrect treatment to be most effective, it’s important to wear your aligners for 20 to 22 hours a day (the closer to 22 hours, the better).

While this may seem like a lot, remember that it’s over 90% of your day, and wearing your aligners as much as possible will help you achieve ideal results in the shortest amount of time.

In Person Consultation right black square icon right gray square icon

GET IN TOUCH

INSTAGRAM

Google Rating
4.6
Google Rating
Google-review